24 Hour Emergency Care: 630.420.0013

Follow Us:

Office Hours

Mon & Fri 9 AM-6 PM
Tues & Thurs 7 AM-8 PM
Wed & Sat 9 AM-3 PM

Address

507 S. Main Street Naperville, IL 60540

Contact Us

630.420.0013

Restore Gum Health

Get to the root of mid-stage periodontal disease.

What is Dental Scaling & Root Planing?

A regular cleaning (prophylaxis) utilizes a dental tool called a scaler to remove plaque and bacteria from the surfaces of your teeth, primarily along your gumline (supragingival) and between your teeth. Scaling & root planing takes that cleaning process a step further if additional calculus removal is needed below the gumline (subgingival), along the root of the tooth. This process addresses mid-stage gum disease (periodontal disease). 

 

One of the checks we do during a regular cleaning is for dental pockets – areas where the gums may have pulled away from the tooth. Those pockets can allow for the bacteria that causes plaque to get under the gum and adhere to the root of the tooth. Plaque hardens to calculus and causes gum redness, swelling, and irritation, as well as ultimately leading to gum recession and other periodontal problems.

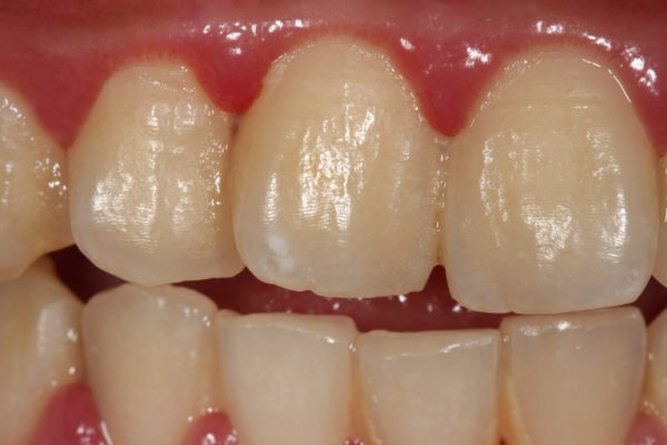
The early stages of periodontal disease with red gums and hardened plaque on the teeth.
Dental scaling tools, also known as Gracey curettes.

What Happens During Scaling & Root Planing?

While scaling and root planing procedure is non-surgical, it can still cause discomfort. Before the procedure begins, a local anesthetic will be applied to the treatment area. A dental explorer is used to confirm the presence of calculus, and then specialized dental tools known as Gracey curettes in varying sizes are used for the calculus removal. The curette is guided along the root of the tooth, the angle is slightly adjusted, and the calculus is methodically removed in firm, downward motions. Once the calculus is properly removed, the root is again smooth.

 

In some cases (or even potentially due to patient preference, if the manual scaler is uncomfortable or causes dental anxiety), an ultrasonic scaler is used in addition to, or in place of, a manual scaler or curette. The ultrasonic scaler uses high-frequency vibrations and water to remove the calculus.

 

It is important that root planing be done by an experienced dentist, as incomplete planing leads to burnished calculus – a smooth layer left on the root that is more difficult to remove than the initial, bumpier calculus. In this case, symptoms of periodontal disease will persist.

What Should I Expect After a Scaling & Root Planing Procedure?

It is common to experience some sensitivity, discomfort, and gum irritation for a few days after treatment. These side effects will be most noticeable for a few hours after the procedure and diminishing in nature until gone. If you feel acute pain or notice after several days that your gums are swollen, bleeding, or excessively red, please contact our office right away at 630.420.0013. If you do not have any problems after the procedure, we will want to see you again after 30 days and then three months later to check the gum health.