Mon & Fri 9 AM-6 PM
Tues & Thurs 7 AM-8 PM
Wed & Sat 9 AM-3 PM
507 S. Main Street Naperville, IL 60540
630.420.0013
Don’t wait; see your dentist right away if you have a concern.
Oral cancer is highly curable (more than 90%) when diagnosed in the early stages. That’s why it’s important to be aware of changes in your oral health that could indicate a problem. During your routine oral examination, your dentist screens for any visible changes to your oral condition, as well.
The following are symptoms of some oral cancers, but it’s important to keep in mind they can be symptoms of other conditions, as well. If you experience any of the following, schedule an appointment right away for an evaluation so we can determine the root cause and begin treatment.
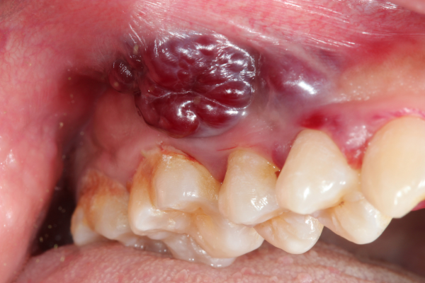
Symptoms of oral cancer include: red or white patches on the tongue, cheeks, tongue, throat, gums, or palate; a lump or sore that doesn’t heal after a few days; persistent pain; and/or other unexplained oral changes such as loose teeth or swelling of the gums, tongue, jaw, or cheeks.
The 2 most common types of oral cancer are carcinomas (or malignant tumors), and they are typically treated through surgery to remove the tumor. Depending upon the individual case, radiation may also be necessary.
Squamous Cell Carcinoma – technically a skin cancer, this is the most common oral cancer, typically affecting the soft tissue of the mouth and/or throat. It is often characterized by red scaly patches or sores that do not heal.
Verrucous Carcinoma – a variant of squamous cell carcinoma, verrucous carcinoma typically appears as a slow-progressing cauliflower-like growth.
Stay in touch with our office and receive dental advice, conveniently delivered to your inbox.
© 2026 JA Haselhorst DDS LTD. All Rights Reserved.
507 S. Main Street, Naperville, IL 60540 │ 630.420.0013