24 Hour Emergency Care: 630.420.0013

Follow Us:

Office Hours

Mon & Fri 9 AM-6 PM
Tues & Thurs 7 AM-8 PM
Wed & Sat 9 AM-3 PM

Address

507 S. Main Street Naperville, IL 60540

Contact Us

630.420.0013

Dental Trauma Should Not Be Ignored

The sooner you’re seen after dental trauma, the better!

What is Considered Dental Trauma?

Dental trauma is categorized as any acute injury to the teeth, gums, mouth tissue, or jawbone. These traumas are usually caused by household accidents (such as falls), car accidents, sports injuries, or violence.

 

Cases can range from chipped, fractured, or cracked teeth to tooth displacement (luxation) to teeth being completely knocked out (avulsion). Even if the teeth, gums, or bone have not been visibly injured, a traumatic event could still have a damaging effect on your mouth. When any dental trauma occurs, no matter how severe, it is important to schedule an immediate evaluation with a trusted dentist.

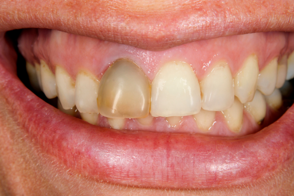
A close-up view of a chipped and damaged tooth.

I Think I'm Fine; Why Do I Need to See the Dentist?

Even if you think you’re okay after a dental trauma, a dentist should monitor your healing. The crown of your tooth (the part you see) accounts for only one-third of the total tooth. That means that two-thirds of your tooth (the root) is not visible to the naked eye. Dental x-rays are critical after dental trauma to check for damage to the root, as well as to monitor the tooth’s viability after the incident. If the crown of the tooth starts to become discolored, it is often too late to intervene and have a chance of saving the tooth.

 

If your tooth is chipped or cracked, even if you do not currently feel any pain, the structure of the tooth is compromised. To prevent larger issues, a filling, crown or some other intervention is likely necessary.