24 Hour Emergency Care: 630.420.0013

Follow Us:

Office Hours

Mon & Fri 9 AM-6 PM
Tues & Thurs 7 AM-8 PM
Wed & Sat 9 AM-3 PM

Address

507 S. Main Street Naperville, IL 60540

Contact Us

630.420.0013

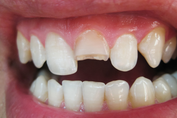
Cracked Teeth Are a Big Concern

You may not be all that worried when you crack a tooth, but it is a more significant issue than you may realize.

Why Do Cracked Teeth Cause Pain?

A cracked tooth is different than a chipped tooth. Both require a trip to the dentist for evaluation, but typically a chipped tooth is primarily a cosmetic concern. A cracked tooth, on the other hand, has typically gone beyond the enamel and into the dentin, or the pulp of the tooth. It may even extend into the root of the tooth, which could result in loss of the tooth.

 

Because the protective enamel is no longer in tact, the nerve of the tooth may be exposed, causing pain. The fracture may also extend up into the gumline, causing irritation and pain.

 

A person with a cracked tooth and poor oral hygiene.
A person with a cracked tooth.

Do I Need to Have My Cracked Tooth Repaired?

The short answer is yes, you do need to have a cracked tooth repaired.

With the dentin exposed, the tooth is much more susceptible to further damage, decay, and continued pain due to nerve exposure.

 

A cracked tooth can also have a significant impact on your ability to chew, potentially leading to poor nutrition if you turn to a softer diet. Additionally, when a tooth is cracked, your bite may become misaligned as the other teeth move into the open space, and that could cause additional jaw pain.

 

It is very important that a cracked tooth be repaired for the overall health of your other teeth and gums.